martes, 26 de marzo de 2013

Caso Clínico: Fractura de Cadera


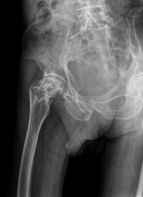
Una caída ocasional como consecuencia de un resbalón en la helada matutina de este invierno tan frío, llevó consigo que Sara, una paciente de 87 años se fracturara la cadera. La primera atención se la proporcionó el 061 en su ambulancia medicalizada, tras la inmovilización se procedió a su trasporte al hospital de referencia donde tras la verificación y comprobación radiológica se operó. La cirugía fue compleja, realizándose una hemiartroplastia. Pasados tres meses de la cirugía persistía el dolor y el callo de fractura no se correspodía al tiempo transcurrido, proponiéndole su médico traumatólogo una nueva cirugía que posiblemente implicaría una prótesis permanente en su cadera. En este estado acudió al médico homeópata, su idea era intentar librarse de una cirugía que no deseaba. Verificadas las pruebas de imagen y confirmados sus síntomas dolorosos a la movilización activa y pasiva se prescribió Calcárea phosphórica 30 CH, toma diaria de un gránulo y nueva valoración radiográfica en un mes. Al mes el callo de fractura se había iniciado y lo que se evidenciaba en la placa, también se percibía en la evolución del cuadro clínico de la paciente, que se encontraba mejor. El traumatólogo que vio la radiografía, indicó espera ante la evolución del cuadro. Siguió la paciente tomando el remedio tal y como se ha indicado y a los dos meses de iniciada la toma se verificó un callo bien consolidado, fue en ese momento cuando se retiró la férula y se inició la rehabilitación que en este caso precisó de tres meses para recuperar la masa muscular perdida.



Comentario al caso Clínico:

Al respecto de Calcárea phosphórica nos comenta Phatak: Afecta la NUTRICION de huesos y glándulas; los huesos se vuelven blandos, delgados y quebradizos; promueve la osificación de los huesos en fracturas de no unión. Vijnowsky apostilla: Siendo el principal constituyente óseo, su acción fundamental se manifiesta a nivel de los huesos. Formación muy lenta o tardía del callo óseo en los extremos óseos de las fracturas; ayuda a acelerar su formación, y puede prescribiese preventivamente desde el momento de la fractura. Exostosis, osteofitos, enfermedades oseas. Atendiendo por tanto a estos criterios, es posible que lo razonable hubiera sido tratar a Sara desde el comienzo de  la aparición de su patología con dicho remedio. Hoy día en todas las fracturas, del tipo que sean, para mí es un remedio indicado desde el primer momento, siempre lo hago del mismo modo: Prescribo Calcarea phosphórica 30 CH gránulos uno diario hasta la verificación por Rx del callo activo y consolidado.